彭州磊络福兴医院

多家医院专家联合重组成立
188-8478-8848

门急诊时间:24h

院内新闻

您所在的位置:首页 - 院内新闻-案例纪实
医院新闻 科普知识 医院招聘 案例纪实 通知公告
反复腰腹痛 2 年,左肾竟藏 “石头山”!经皮肾镜精准碎石,一朝除患!
发布时间:2024-04-10 09:29:33      点击次数:568

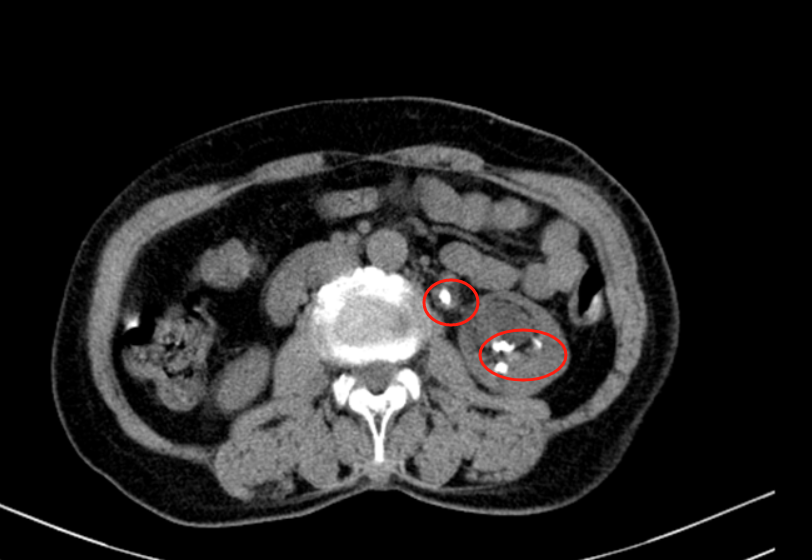
“腰疼起来真要命!”61岁的王阿姨(化名)捂着左侧腰腹部,眉头紧锁。过去的两年里,她一直被反复的腰腹部胀痛折磨,最近两天疼痛突然加重,连走路都成了问题。在家人的陪同下,来到彭州磊络福兴医院,找到外科李方勇主任进行检查,结果让人大吃一惊——左肾多发结石,重度肾积水!

!
两年疼痛,竟是结石惹的祸

王阿姨平时身体还算硬朗,但这两年左侧腰腹部的胀痛总是反复发作。曾以为是劳累所致,贴贴膏药、吃点止痛药也就熬过去了。可最近两天,疼痛突然加剧,甚至出现了恶心、呕吐的症状。家人意识到问题的严重性,赶紧带她到医院就诊。

经过B超和CT检查,李主任发现王阿姨的左肾内布满结石,最大的结石直径超过1.5厘米,而且肾脏已经出现了重度积水。如果不及时治疗,肾功能可能会进一步受损,甚至危及生命。

!
结石多、积水重

面对王阿姨的病情,李主任建议进行经皮肾镜碎石取石术。这是一种微创手术,通过在腰部打一个“小孔”,用肾镜进入肾脏内部,将结石击碎并取出然而,王阿姨的手术并不简单:

左肾内结石数量多、分布广,手术需要尽可能清除所有结石,避免残留。但由于重度积水导致肾脏结构变形,手术视野受限,大大增加了操作难度!

!
步步惊心,精准操作

为尽快解决王阿姨的问题,经过充分的术前准备,手术当天特邀雅安仁康医院崔建强院长与谭军副主任医师到院共同为王阿姨实施手术,崔院长首先在王阿姨的腰部打了一个直径不到1厘米的小孔,通过肾镜进入肾脏内部。由于结石数量多且分散,医生需反复调整角度,逐一击碎并取出结石。

在处理最大的一颗结石时。因体积大且位置特殊,紧贴肾盂壁。稍有不慎,就可能损伤肾脏组织,导致大出血。谭主任凭借丰富的经验,精准操作,最终成功将这颗“顽固分子”击碎并取出。经过1个多小时的努力,手术顺利完成。王阿姨左肾内的结石被彻底清除,肾积水问题也得到了解决。

术后,李阿姨恢复良好。腰腹部的疼痛消失了,她感慨地说:“早知道手术这么轻松,我就不用忍这么久了!”

医生提醒,肾结石是一种常见病,但如果不及时治疗,可能会导致肾功能受损,甚至引发尿毒症。如果出现腰腹部疼痛、血尿等症状,切要及时就医,早发现、早治疗。


上一条:40余 年 “禁锢” 一朝解,左髋化脓性髋关节炎置换术后重获行走自由!
下一条:没有啦!

返回列表

您感兴趣的新闻